501+ Google reviews
Orthopedische chirurgie

Gescheurde voorste kruisband bij de hond
Een gescheurde voorste kruisband is één van de meest voorkomende knieproblemen bij honden. Het ontstaat vaak door geleidelijke slijtage van de kruisband. Honden met een gescheurde kruisband hebben vaak veel pijn en lopen ernstig mank. De kruisband zorgt ervoor dat de knie stabiel blijft tijdens het lopen. Door de instabiliteit die in het kniegewricht ontstaat nadat de kruisband is afgescheurd zal ook de meniscus beschadigen of scheuren. Ook kan er op de lange termijn ernstige slijtage van het gewrichtskraakbeen (artrose) ontstaan. Als een gescheurde kruisband niet chirurgisch gecorrigeerd wordt blijft de hond levenslang pijnlijk en kreupel.
Het stellen van de diagnose
De diagnose wordt gesteld met een lichamelijk onderzoek. Daarbij voeren we speciale testen uit, zoals de schuifladetest en de tibia compressietest. Soms zijn deze onderzoeken alleen betrouwbaar onder lichte sedatie, omdat de hond gespannen of pijnlijk kan zijn. In twijfelgevallen maken we ook röntgenfoto’s om de diagnose te ondersteunen.
De kunstband (Flo-teugel)
Voor kleinere honden, lichter dan 15 kg, passen we vaak de zogenaamde kunstbandtechniek toe, ook wel de Flo-teugel genoemd. Hierbij wordt de functie van de gescheurde kruisband nagebootst met een stevige band die buiten het kniegewricht wordt geplaatst. Dit stabiliseert de knie zodat de hond zich weer goed kan bewegen. Deze techniek is niet geschikt voor grotere honden omdat de kunstband daar niet sterk genoeg voor is.
Schematische weergave van de Flo-teugel
De TTA Rapid-methode
De TTA Rapid-operatie (Tibial Tuberosity Advancement) is een moderne chirurgische techniek die de knie weer stabiel maakt. Door een kleine aanpassing in het scheenbeen met behulp van een speciaal implantaat worden de krachten in het kniegewricht opnieuw in balans gebracht. Door deze verandering is de knie weer stabiel tijdens het bewegen. Deze methode passen we toe bij honden vanaf ongeveer 15 kg. Na herstel kan de hond weer pijnvrij en actief bewegen.
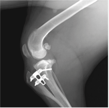
Röntgenfoto na TTA operatie
De operatie stap voor stap
- Uw hond wordt onder algehele narcose gebracht.
- Er worden röntgenfoto’s gemaakt om nauwkeurig te berekenen welke correctie en welke maat implantaat nodig is.
- De hond wordt vervolgens voorbereid voor de operatie. Het been wordt geschoren en gewassen.
- Vervolgens wordt het kniegewricht geopend: de resten van de gescheurde kruisband worden verwijderd en de meniscus wordt gecontroleerd op beschadigingen. Indien nodig wordt het beschadigde deel van de meniscus verwijderd.
- Bij kleinere honden wordt een kunstbandje geplaatst.
- Bij grotere honden wordt het scheenbeen (tibia) op een gecontroleerde manier ingezaagd. Vervolgens wordt de “kooi” (het implantaat) geplaatst. Deze wordt met 4 tot 6 schroeven vastgezet (afhankelijk van de maat van de kooi).
- Tot slot wordt de wond zorgvuldig gesloten.
Na de operatie
Uw hond mag meestal dezelfde dag weer naar huis. Goede nazorg is hierbij van groot belang: de beweging moet rustig en gecontroleerd worden opgebouwd. U krijgt van ons uitgebreide nazorginstructies zodat het herstel zo voorspoedig mogelijk verloopt!
Patellaluxatie
Wat is een patellaluxatie?
Patellaluxatie is een veelvoorkomende orthopedische aandoening bij honden. Hierbij schiet de knieschijf (patella) uit de groeve van het dijbeen, waar hij normaal in hoort te liggen. Dit kan naar de binnenkant (mediale luxatie) of de buitenkant (laterale luxatie) gebeuren. De aandoening ontstaat vaak door een afwijkende stand van de achterpoot of door een te ondiepe groeve in het dijbeen. Patellaluxatie komt regelmatig voor bij kleine hondenrassen, maar kan ook bij middelgrote en grote rassen optreden. In de meeste gevallen is de luxatie naar binnen (mediale luxatie).
Honden met een patellaluxatie kunnen uiteenlopende klachten vertonen. Soms zie je dat een hond tijdens het lopen plots een achterpootje optrekt en even “huppelt”, om daarna weer normaal door te lopen. In ernstigere gevallen kunnen honden mank blijven lopen, pijn ervaren en slijtage (artrose) in het kniegewricht ontwikkelen. De ernst van de klachten is afhankelijk van de graad van de luxatie. Omdat de aandoening vaak chronisch en progressief is, is het belangrijk om tijdig een diagnose te stellen en een passende behandeling te overwegen.
Diagnose stellen
De diagnose patellaluxatie wordt gesteld door lichamelijk onderzoek, waarbij de dierenarts de knieschijf handmatig kan verplaatsen en beoordeelt of deze uit de groeve schiet. Er zijn verschillende gradaties van patellaluxatie:
- Graad I: de knieschijf kan handmatig uit de groeve worden geduwd, maar springt vanzelf weer terug.
- Graad II: de knieschijf schiet regelmatig spontaan uit de groeve, maar kan ook weer terugschieten.
- Graad III: de knieschijf ligt vaak naast de groeve en blijft daar, maar is met druk weer terug te plaatsen.
- Graad IV: de knieschijf ligt permanent naast de groeve en is niet meer terug te plaatsen.
Operatietechniek
De behandeling van een patellaluxatie gebeurt meestal met een operatie. Welke stappen de dierenarts precies uitvoert, hangt af van hoe ernstig de aandoening is. Vaak worden meerdere technieken gecombineerd om de knieschijf weer goed en stabiel op zijn plaats te krijgen.
- Verdiepen van de groeve: de “gleuf” in het dijbeen waarin de knieschijf hoort te lopen, wordt iets dieper gemaakt. Zo blijft de knieschijf beter op zijn plek.
- Verplaatsen van de aanhechting van de knieschijfpees: de plek waar de pees aan het scheenbeen vastzit wordt iets verplaatst, zodat de trekkracht weer recht door de groeve loopt. Dit helpt om de knieschijf niet meer scheef te trekken.
- Strakker zetten van de weke delen: de banden en het kapsel rondom de knie kunnen worden verstevigd of een beetje aangespannen, zodat ze extra steun geven.
Door deze technieken te combineren, wordt de knie stabieler en is de kans groot dat de hond weer pijnvrij kan lopen.
Nazorg
Een goede nazorg is essentieel voor een succesvol herstel. De hond krijgt pijnstilling mee naar huis. Het is belangrijk dat de hond de eerste weken strikt rust houdt en alleen korte aangelijnde wandelingen maakt voor het uitlaten. Traplopen, springen en spelen moeten zoveel als mogelijk voorkomen worden.
Na enkele weken mag de belasting geleidelijk worden opgebouwd. Fysiotherapie kan het herstel ondersteunen en de spieropbouw te bevorderen. Een controle bij de dierenarts volgt om te beoordelen of de genezing goed verloopt. Bij de meeste honden is de prognose na een operatie voor patellaluxatie zeer goed.
Neem contact op voor meer informatie
Dierenkliniek den Heuvel staat 365 dagen per jaar voor u klaar!
Neem contact op


